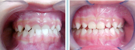
A paciente apresentava os dentes de cima encaixando por trás dos dentes inferiores, para obter-se uma relação correta entre os dentes superiores e inferiores foi realizado pistas diretas.
Somos uma clínica com foco em prevenção e excelência no tratamento de adultos e crianças